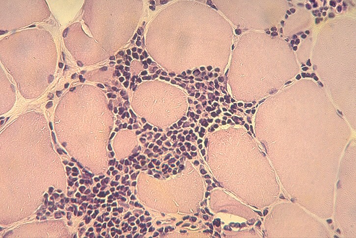
Myositis

Entzündliche Myopathien, auch Myositis genannt, sind seltene Erkrankungen der Skelettmuskulatur, bei denen es durch eine fehlgeleitete Immunreaktion zu einer Entzündung und Schädigung der Muskelfasern kommt. Typische Beschwerden sind eine langsam zunehmende Muskelschwäche, vor allem der rumpfnahen Muskulatur (z.B. Oberarme, Oberschenkel), häufig begleitet von Muskelkaterähnlichen Schmerzen und schneller Ermüdung.

Wichtige Informationen

Aktuelle Informationen

Liebe Patientinnen und Patienten,

uns erreichen sehr viele E-Mails. Wir versuchen Ihre Anfrage innerhalb von 2 Arbeitstagen zu bearbeiten. Bitte haben Sie Verständnis dafür, wenn Ihre Anfrage nicht umgehend beantwortet werden kann und sehen Sie bitte von unmittelbaren Nachfragen ab.


Die Praxis ist donnerstags zwischen 12:00 - 14:00 Uhr geschlossen.

Bitte wenden Sie sich daher im Notfall an den Kassenärztlichen Notdienst unter der Rufnummer 116 117.

 

Wir suchen Sie!

Medizinische Fachangestellte und eine/n MTA-F in der neurologischen Funktionsdiagnostik. Bei Interesse klicken Sie auf diesen Link.

Unter dem Begriff Myositis werden verschiedene Formen entzündlicher Muskelerkrankungen zusammengefasst, etwa Polymyositis, Dermatomyositis, immun-vermittelte nekrotisierende Myopathien und Einschlusskörpermyositis. Meist liegt eine Autoimmunerkrankung zugrunde, bei der das Immunsystem irrtümlich Muskelgewebe und teils auch Haut oder innere Organe angreift.

Betroffene bemerken häufig Schwierigkeiten beim Treppensteigen, Aufstehen aus der Hocke oder beim Heben der Arme über den Kopf, da vor allem die proximalen Muskeln geschwächt sind. Je nach Unterform können zusätzlich Hautveränderungen, Gelenkbeschwerden, Schluckstörungen oder Luftnot durch Beteiligung von Herz- und Atemmuskulatur auftreten.

Neben Anamnese und körperlich-neurologischer Untersuchung erfolgen Laboruntersuchungen (u.a. Muskelenzyme wie Kreatinkinase und Autoantikörper), Elektromyographie und bildgebende Verfahren wie MRT oder Muskelsonografie. In ausgewählten Fällen kann eine Muskelbiopsie notwendig sein, um Art und Ausmaß der Entzündung genau zu bestimmen und die passende Therapie festzulegen.

Die Bestimmung von Myositis-spezifischen und Myositis-assoziierten Autoantikörpern spielt eine wichtige Rolle für die Klassifikation und Prognose. Beispiele sind:

  • Jo-1, PL-7, PL-12, EJ, OJ (Aminoacyl-tRNA-Synthetase-Antikörper): Häufig mit interstitieller Lungenerkrankung (ILD), Arthritis und Hautveränderungen assoziiert.
  • SRP (Signal Recognition Particle): Typisch für nekrotisierende Myopathie mit Herzbeteiligung.
  • Mi-2, TIF-1γ, MDA5, NXP2, SAE1, HMGCR, cN1A: Jeder dieser Antikörper ist mit bestimmten klinischen Phänotypen, Organbeteiligungen und manchmal erhöhtem Tumorrisiko assoziiert.
  • PM-Scl, Ku, Ro-52: Häufig bei Overlap-Syndromen mit Sklerodermie, SLE oder Sjögren-Syndrom.

Neben der Muskulatur können bei Myositiden auch andere Organe betroffen sein:

  • Lunge: Interstitielle Lungenerkrankung (ILD), besonders bei Aminoacyl-tRNA-Synthetase-Antikörpern.
  • Herz: Myokarditis, Arrhythmien, vor allem bei SRP-positiven Patienten
  • Haut: Dermatomyositis mit typischen Hautveränderungen wie Gottron-Papeln, heliotropes Exanthem.
  • Gastrointestinaltrakt, Nieren: Selten, aber möglich bei bestimmten Antikörpern (z.B. NXP2)

Die Therapie richtet sich nach der Schwere und Organbeteiligung. In schweren Fällen erfolgt eine Induktion mit hochdosierten Steroiden, oft kombiniert mit immunsuppressiven Medikamenten wie Azathioprin oder Methotrexat. Bei Therapieversagen oder schweren Organmanifestationen kommen intravenöse Immunglobuline (IVIG) oder Biologika zum Einsatz. Ergänzend sind Physio- und Ergotherapie wichtig, um die Lebensqualität zu erhalten.