Demenz

Informationen für Patienten und Angehörige

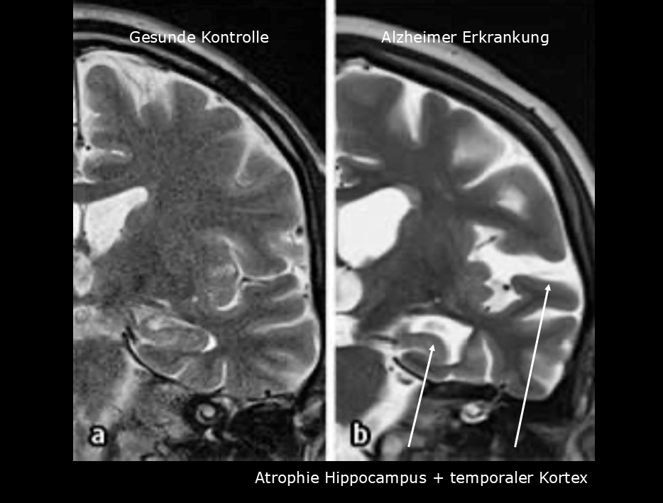
Demenzen sind fortschreitende Erkrankungen des Gehirns, die Gedächtnis, Denkvermögen und Alltagsfähigkeiten beeinträchtigen. In Deutschland sind etwa 1,8 Millionen Menschen betroffen – mit steigender Tendenz. Die häufigste Form ist die Alzheimer-Krankheit.

Wichtige Informationen

Aktuelle Informationen

Liebe Patientinnen und Patienten,

leider hat unser Email-Provider aktuell ein technisches Problem, daher können wir Ihre Email-Anfragen an info@neurologie-neuer-wall.de derzeit nur unregelmäßig bearbeiten. Für dringende Email-Anfragen nutzen Sie bitte info1@neurologie-neuer-wall.de.

Die Praxis ist donnerstags zwischen 12:00 - 14:00 Uhr geschlossen.

Bitte wenden Sie sich daher im Notfall an den Kassenärztlichen Notdienst unter der Rufnummer 116 117.

Wir suchen Sie!

Medizinische Fachangestellte und eine/n MTA-F in der neurologischen Funktionsdiagnostik. Bei Interesse klicken Sie auf diesen Link.

Typisch sind erste Probleme mit dem Kurzzeitgedächtnis, Wortfindungsstörungen und Schwierigkeiten bei alltäglichen Aufgaben. Im Verlauf können Orientierung, Sprache und Urteilsvermögen stärker beeinträchtigt werden. Demenzen führen nach und nach zu einem erhöhten Unterstützungsbedarf im täglichen Leben.

 

Mit steigendem Alter nimmt das Risiko für Demenz deutlich zu. Weitere Risikofaktoren sind unter anderem Herz-Kreislauf-Erkrankungen, Diabetes und genetische Einflüsse. Studien empfehlen eine gesunde Ernährung, Bewegung und geistige Aktivität – bekannte Maßnahmen, um eine Demenzentstehung hinauszuzögern oder zu verhindern. Eine Studie der Harvard-Universität bestätigt, dass ein gesunder Lebensstil auch bei erhöhtem genetischem Risiko vorbeugend wirkt. Finden Sie mit Hilfe Ihres Brain Care Scores heraus, wie Sie Ihr Risiko eine Demenz zu entwickeln reduzieren können: Brain Care Score (englisch)

 

Für die Diagnosestellung sind ärztliche Gespräche, Untersuchungen, neuropsychologische Tests und bildgebende Verfahren erforderlich. Moderne Verfahren wie Biomarker-Analysen spielen nach aktuellen Leitlinien eine wachsende Rolle, um Krankheitsursachen frühzeitig und möglichst präzise zu erkennen. Aktuell können dafür bestimmte Eiweiße im Nervenwasser untersucht werden, Bluttests werden noch nicht allgemein empfohlen.

Neben Medikamenten zur Symptomlinderung – wie Cholinesterasehemmern oder Memantin – stehen seit kurzem auch krankheitsmodifizierende Antikörpertherapien im Mittelpunkt der Behandlung bei früher Alzheimer-Demenz. Ergänzend wichtig sind individuelle Ergotherapie, kognitives Training und psychosoziale Unterstützung.

Antikörpertherapie: Nutzen, Risiken und Verfügbarkeit
Antikörper-Medikamente wie Lecanemab greifen gezielt in Krankheitsmechanismen der Alzheimer-Krankheit ein und können das Fortschreiten im frühen Stadium messbar verlangsamen. Die Behandlung wird in spezialisierten Zentren erfolgen und ist mit regelmäßigen Infusionen verbunden. Zu den wichtigsten Risiken gehören Nebenwirkungen wie Hirnödeme oder Mikroblutungen, weshalb eine sorgfältige Patientenauswahl und engmaschige Überwachung auch mittels MRT erfolgen muss. In Hamburg wird die Antikörpertherapie insbesondere an universitären Zentren wie dem UKE angeboten werden; eine sorgfältige ärztliche Beratung ist Voraussetzung für den Zugang zu dieser Therapie.

Patienten und Angehörige finden in Hamburg vielfältige Unterstützung: Die Alzheimer Gesellschaft Hamburg e.V., regionale Selbsthilfegruppen, spezialisierte Beratungsdienste sowie Gedächtnissprechstunden an Hamburger Kliniken bieten Information, Beratung und praktische Hilfen vor Ort. Informationen zu weiterführenden Angeboten gibt es auf den Seiten der Deutschen Alzheimer Gesellschaft, der Alzheimer Gesellschaft Hamburg e.V. oder der Deutschen Hirnstiftung.

Deutsche Hirnstiftung - Demenz

Alzheimer Gesellschaft Hamburg

Deutsches Zentrum für Neurodegenerative Erkrankungen

Podcast "Neurologie kurz erklärt" von Frau Dr. Young zu Demenz auf Spotify oder Apple

Symptome und Verlauf
Typisch sind erste Probleme mit dem Kurzzeitgedächtnis, Wortfindungsstörungen und Schwierigkeiten bei alltäglichen Aufgaben. Im Verlauf können Orientierung, Sprache und Urteilsvermögen stärker beeinträchtigt werden. Demenzen führen nach und nach zu einem erhöhten Unterstützungsbedarf im täglichen Leben.

Ursachen, Risikofaktoren und Prävention
Mit steigendem Alter nimmt das Risiko für Demenz deutlich zu. Weitere Risikofaktoren sind unter anderem Herz-Kreislauf-Erkrankungen, Diabetes und genetische Einflüsse. Studien empfehlen eine gesunde Ernährung, Bewegung und geistige Aktivität – bekannte Maßnahmen, um eine Demenzentstehung hinauszuzögern oder zu verhindern. Eine Studie der Harvard-Universität bestätigt, dass ein gesunder Lebensstil auch bei erhöhtem genetischem Risiko vorbeugend wirkt. Finden Sie mit Hilfe Ihres Brain Care Scores heraus, wie Sie Ihr Risiko eine Demenz zu entwickeln reduzieren können: Brain Care Score (englisch)

Diagnose
Für die Diagnosestellung sind ärztliche Gespräche, Untersuchungen, neuropsychologische Tests und bildgebende Verfahren erforderlich. Moderne Verfahren wie Biomarker-Analysen spielen nach aktuellen Leitlinien eine wachsende Rolle, um Krankheitsursachen frühzeitig und möglichst präzise zu erkennen. Aktuell können dafür bestimmte Eiweiße im Nervenwasser untersucht werden, Bluttests werden noch nicht allgemein empfohlen.

Behandlungsmöglichkeiten
Neben Medikamenten zur Symptomlinderung – wie Cholinesterasehemmern oder Memantin – stehen seit kurzem auch krankheitsmodifizierende Antikörpertherapien im Mittelpunkt der Behandlung bei früher Alzheimer-Demenz. Ergänzend wichtig sind individuelle Ergotherapie, kognitives Training und psychosoziale Unterstützung.

Antikörpertherapie: Nutzen, Risiken und Verfügbarkeit
Antikörper-Medikamente wie Lecanemab greifen gezielt in Krankheitsmechanismen der Alzheimer-Krankheit ein und können das Fortschreiten im frühen Stadium messbar verlangsamen. Die Behandlung wird in spezialisierten Zentren erfolgen und ist mit regelmäßigen Infusionen verbunden. Zu den wichtigsten Risiken gehören Nebenwirkungen wie Hirnödeme oder Mikroblutungen, weshalb eine sorgfältige Patientenauswahl und engmaschige Überwachung auch mittels MRT erfolgen muss. In Hamburg wird die Antikörpertherapie insbesondere an universitären Zentren wie dem UKE angeboten werden; eine sorgfältige ärztliche Beratung ist Voraussetzung für den Zugang zu dieser Therapie.

Unterstützung und regionale Angebote in Hamburg
Patienten und Angehörige finden in Hamburg vielfältige Unterstützung: Die Alzheimer Gesellschaft Hamburg e.V., regionale Selbsthilfegruppen, spezialisierte Beratungsdienste sowie Gedächtnissprechstunden an Hamburger Kliniken bieten Information, Beratung und praktische Hilfen vor Ort. Informationen zu weiterführenden Angeboten gibt es auf den Seiten der Deutschen Alzheimer Gesellschaft, der Alzheimer Gesellschaft Hamburg e.V. oder der Deutschen Hirnstiftung.

weiterführende Informationen

Deutsche Hirnstiftung - Demenz

Alzheimer Gesellschaft Hamburg

Deutsches Zentrum für Neurodegenerative Erkrankungen

Podcast "Neurologie kurz erklärt" von Frau Dr. Young zu Demenz auf Spotify oder Apple