Aktuelles aus unserer Praxis
Optimierte Diagnostik beim Karpaltunnel-Syndrom – die Nervensonografie
Optimierte Diagnostik beim Karpaltunnel-Syndrom – die Nervensonografie
Nächtliche oder morgendliche Schmerzen in der Hand oder Arm bzw. Missempfindungen in der Hand und den Fingern können Ausdruck eines Karpaltunnel-Syndroms sein. Hierbei handelt es sich um eine Kompression eines Nerven am Durchtritt durch den Handgelenkstunnel, der durch die Handwurzelknochen und das straffe Handgelenksband begrenzt wird. Durch diesen physiologischen Engpass zieht der Nervus medianus zusammen mit den Fingerbeugesehnen.
Bei fortgeschrittenem Verlauf treten die Beschwerden auch tagsüber, z.B. bei manuellen Tätigkeiten (Radfahren, Haarföhnen, PC Arbeit etc.) auf, später kann eine anhaltende Taubheit, insbesondere des Daumens, des Zeige- und Ringfingers oder gar eine leichte Schwäche der Daumenballenmuskeln mit Ungeschicklichkeit z.B. beim Knöpfen hinzutreten. Gelegentlich findet sich eine hormonelle Störung (z.B. Schilddrüse) oder Stoffwechselstörung (z.B. Diabetes mellitus). Auch rheumatische Erkrankungen können durch Verdickung der Sehnenscheiden die Beschwerden auslösen, meist ist aber keine andere Begleiterkrankung festzustellen.
Therapeutisch stehen die Vermeidung einer manuellen Überbelastung sowie die nächtliche Schienung des Handgelenks in neutraler Stellung durch eine volare Unterarmschiene an erster Stelle. Bei anhaltenden oder gravierenden Beeinträchtigungen wird man jedoch zur operativen Spaltung des Handgelenksbandes raten. Die medikamentöse Behandlung der Schmerzen ist meist wenig effektiv und der positive Effekt z.B. durch Infiltration mit Glukokortikoiden häufig nur von begrenzter Dauer.
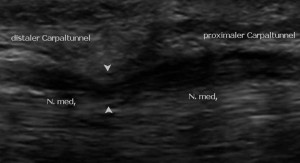
Da die neurologische Untersuchung, insbesondere zu Beginn der Beschwerden häufig keine auffälligen Befunde liefert, wird die Diagnose in der Regel mittels Messung der elektrischen Leitfunktion des Nervens gestellt. Durch die Entwicklung hochauflösender Ultraschallgeräte ist es heutzutage jedoch möglich eine sehr gute und verlässliche Darstellung von Nerven zu ermöglichen, so dass diese Methode nun auch in der Diagnostik des Karpaltunnel-Syndroms eingesetzt werden kann.

Die Ultraschalluntersuchung kann die Kompression und die dadurch hervorgerufene Schwellung des Nervens vor dem Engpass nachweisen und hat eine gleichwertige Aussagekraft und Zuverlässigkeit wie die elektrische Nervenmessung erreicht. Die Kombination beider Methoden erhöht die Treffsicherheit der korrekten Diagnose noch einmal, insbesondere bei leichten Befunden und nach vorherigen Operationen am Karpaltunnel. Ein weiterer Vorteil ist die Darstellung von Lagevarianten von Nerven, Sehnen, Muskeln und Gefäßen oder besonderen Strukturen im Karpaltunnel, so dass der Handchirurg optimierte Information vor einer evtl. notwendigen Operation erhält.

In Ergänzung zur elektrophysiologischen Untersuchung der Nerven bieten wir in unserer Praxis die Nervensonografie in der Diagnostik von generalisierten Polyneuropathien und Kompressions-Neuropathien an. Die Untersuchung ist schmerzfrei und nicht belastend und dauert je nach Fragestellung ca. 10 – 20 Minuten.
Ärztezeitung 11.12.19 Ultraschall kann manche Operation ersparen
